杭州华方医院新冠康复:从病毒手上抢生命 八旬耄耋老人挺过“白肺”难关转危为安

    发布时间:2023-06-05 20:25:00    点击次数:

“千言万语只能说谢谢,感谢你们日夜守护、悉心照料,我母亲才能挺过这一关!”日前,杭州华方医院院长助理兼病区主任、心血管内科副主任医师张华在例行查房时,一位患者家属激动地这样说到,感激之情溢于言表。

感染新冠,一查已是“白肺”

据了解,这位患者是我院二病区86岁的骆奶奶,既往有高血压、糖尿病等慢性病史,在我院住院疗养。在新冠大规模感染时期,高龄的骆奶奶也未能幸免,气喘、胸闷、呼吸困难,伴着高烧不退、咳嗽咳痰,感染后的骆奶奶浑身无力、痛苦不堪。

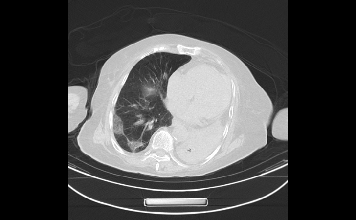
更严重的是,经过胸部CT检查,骆奶奶双肺呈现“白肺”,血氧饱和度降低至85%。这种高龄且有基础疾病的“白肺”老人,死亡率非常高!

医护人员不禁为骆奶奶捏了一把汗,生死抢夺战即将展开。

全力以赴,从病毒手上抢生命

从病毒手上抢生命,怎么抢?如何才能抢得赢?于骆奶奶而言,是一道道生死难关;于医护人员而言,则是坚定的信念!

面对骆奶奶的病情,家属们有些许悲观,而张华主任凭着多年的临床经验,坚信尚有生机!

高流量氧疗接呼吸机辅助通气,口服抗病毒药物,同时给予抗炎、化痰、止咳、扩张支气管等系列治疗,张华主任快速制定了全面、谨慎的治疗方案。他表示,针对骆奶奶的情况,除了要关注肺的情况,还要兼顾其他身体“短板”,进行综合治疗。

骆奶奶所在二病区的护理人员,则24小时严密观察她的生命体征,密切监测呼吸、血氧、血压、神志等情况变化,同时帮助她俯卧位通气、拍背排痰,并对她进行了心理疏导。

老人能否安全渡过生死线,牵动着所有医护人员的心。

尽心救人,耄耋老人挺过生死难关

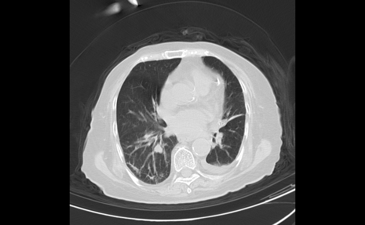
经过医护人员的全力治疗和精心护理,骆奶奶病情逐步稳定并好转,胸闷气急症状逐渐消失,血氧饱和度提高到95%,复查胸部CT,“白肺”明显吸收好转。

治疗前/治疗后

“86岁的高龄,伴有多项基础病,加上严重白肺,能成功救治真的不容易。”谈起骆奶奶的救治过程,张华主任仍颇有感触。

面对家属的感激,张华主任则认为,救治病人不仅是医护的职责,也是患者自己和家属的共同抗争。“医护人员尽心救人,患者有坚定的求生意志,家属充分信任医护,才有了如今满意的结果。”

有深度有温度,做群众生命健康守护人

每一位患者的成功救治,无不考验着医务人员的专业技术能力;每一位病人的顺利康复,无不倾注着医务人员精心照护理心血。

自去年新冠病毒感染高峰以来,在杭州华方医院成功救治的“白肺”患者不在少数。86岁骆奶奶的康复不仅给她一家带来了喜悦,更是给予了我院医护团队莫大的动力。

“在我院病区收治的患者中,多数属于高龄老年人群,大部分合并有高血压病、冠心病、糖尿病、肾脏疾病、脑梗等基础疾病。”张华主任说,“因为患者的特殊性,我们要更加认真细致,勤查房、勤思考、勤应对,做好患者基础疾病的综合管理,快速制定精准的救治和康复方案。” 

在救治任务异常繁重时期,杭州华方医院医护团队也同样遭受了新冠病毒的侵袭,他们顶着重重压力,忍受着反复高烧、疼痛,带“阳”坚守岗位,高负荷运转。他们有的症状稍微减便立即复岗,用生命护佑生命;有的轻伤不下火线,全力以赴保障群众就医需求。

纵有疾风起,医心不言弃。未来,每一个华方人将继续以平凡之力、非凡之勇、仁心之术守护人民群众的生命健康。

点击友情链接,进入浙里康复养老网,查询更多康复养老机构

电话咨询
声明:杭州康复养老平台(智慧康养),提供杭州公立康复中心、杭州康复医院、杭州养老院查询服务,分享康复养老干货,本平图片来源于网络,转载仅为分享知识!如侵犯了您的权益,请联系我们更正或删除,谢谢!
浙ICP备19013084号-1